
LSO News Hub
Keeping you up to date with the latest practice news and announcements.

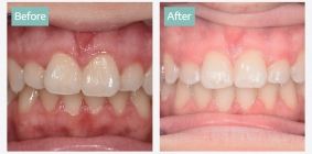
Emily's Smile Journey with LSO
To read about our patient Emily's journey w...
15 January 2021
Care and maintenance of your mouth and braces
At Leamington Spa Orthodontics we want you to look after and care for you...
26 March 2020
Wearing Elastic Bands with your Braces
Elastic bands that you may be asked to attach onto hooks on your brace come i...
20 March 2020
Platypus® Orthodontic Flosser
We are currently offering limited free samples of Platypus Orthodontic Flosse...
11 October 2018
Brushing Your Teeth With Braces
Oral hygiene is extremely important and we are unable to start any orthodonti...
13 July 2018
Retainers For Teeth: Why Wear Them
After braces have been removed, teeth have a tendency to return to their orig...
12 July 2018
How Braces Move Teeth
Orthodontic tooth movement is a biological process. In order to move teeth in...
1 May 2018Do health and care services know what you really think?
By sharing your ideas and experiences you can help services hear what works, what doesn't and how care could be better in the future.
06th December 2018